Veja as últimas novidades nas nossas pesquisas, parcerias e atividades.
Dezessete novos clínicos, cardiologistas, intensivistas, pediatras e radiologistas celebraram a conclusão dos cursos de residência médica oferecidos pelo Instituto D’Or...
“O caminho nunca é linear”, afirmou Peter Walter, biólogo celular, coautor do livro The Cell, ao ministrar palestra no Instituto...
?Na maioria das vezes, a carreira científica exige que os pesquisadores quebrem barreiras e encontrem soluções inovadoras em suas pesquisas....
“Cannabis é a substância ilícita mais usada no mundo, mas é espantoso perceber que não existem bons estudos sobre seus...
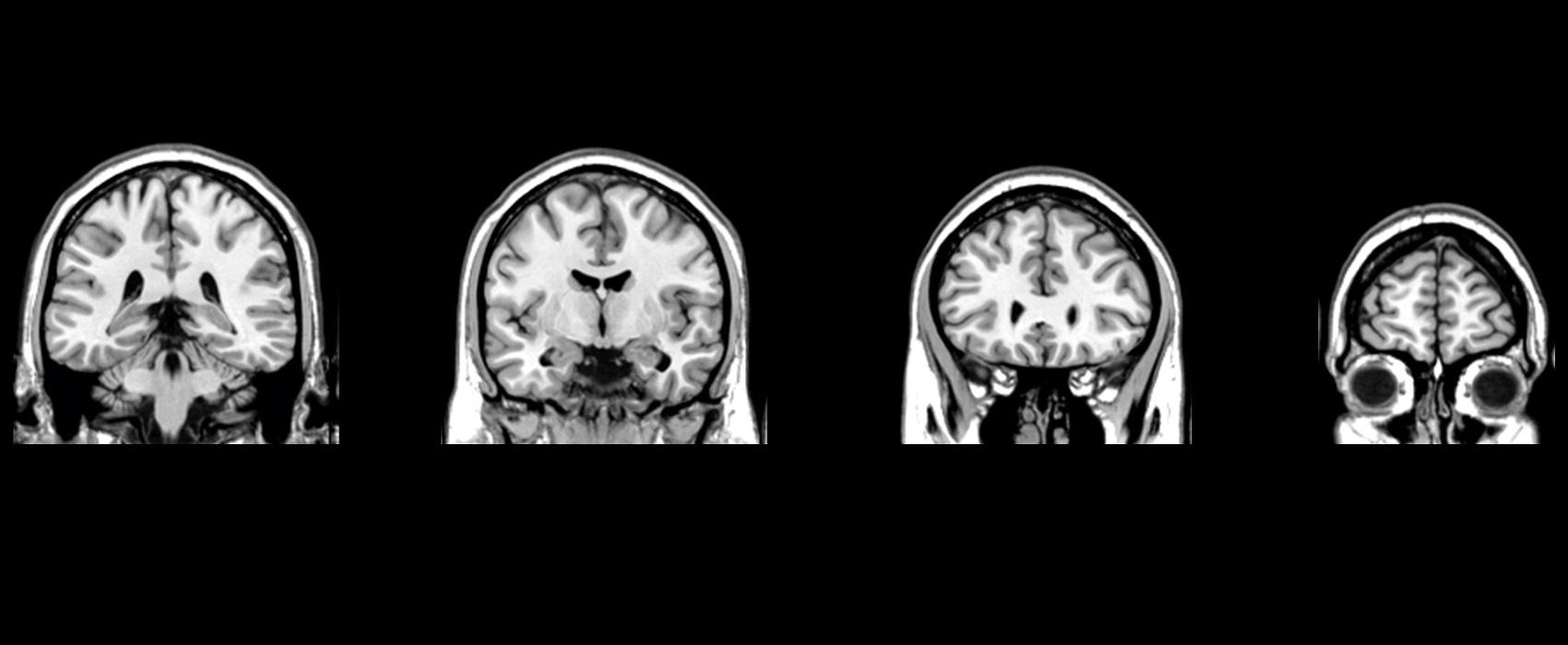
A esquizofrenia pode estar relacionada a alterações de neurodesenvolvimento, incluindo a incapacidade do cérebro de criar um sistema de vascularização...
A presença das mulheres nas pesquisas científicas vem aumentando a cada ano. Elas já são responsáveis por metade da produção...
Estima-se que cerca de 12% dos estudantes universitários brasileiros sofram com transtorno do déficit de atenção e hiperatividade (TDAH). Mas...
Os coordenadores da Pós-graduação em Fisioterapia em Terapia Intensiva do Instituto D’Or, Dr. André Chevitarese e Dr. Bruno Vilaça, falam sobre o...
RESULTADO FINAL DO SEGUNDO PROCESSO SELETIVO DE RESIDÊNCIA MÉDICA - 2018Os candidatos selecionados, dentro do número de vagas, deverão se...
{{ post.resumo }}